
All-on-4 vs All-on-X: Which Full-Arch Dental Implant Solution Is Best for You?
December 31, 2025Seeing your dentist every six months isn’t just a routine recommendation, it’s one of the simplest and most cost-effective ways to protect your oral health and avoid unnecessary pain, inconvenience, and expense over time.
Prevention Is Always Less Expensive Than Treatment
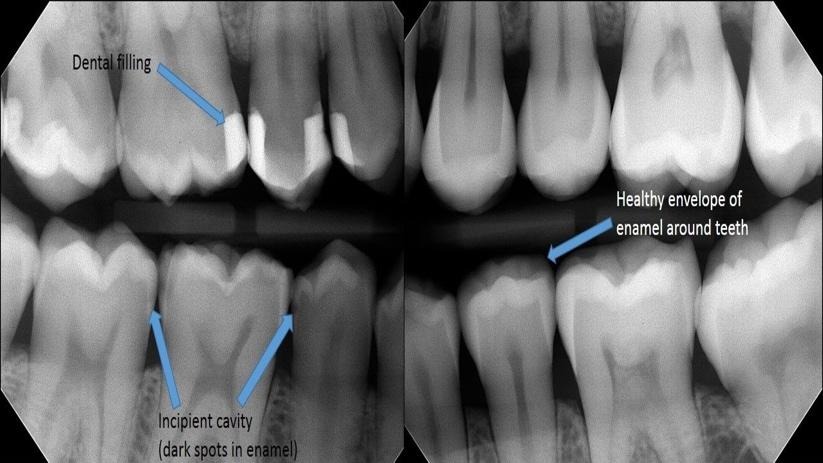
Routine dental checkups are designed to catch small issues before they become big problems. During a regular visit, your dentist and hygienist can identify early signs of cavities, gum disease, enamel wear, or infection, often before you feel any discomfort at all.
Treating a small cavity or addressing early gum inflammation is far less costly than needing a root canal, crown, periodontal treatment, or tooth replacement later. What might be a modest preventive visit today can save thousands of dollars in restorative procedures down the road.
Avoid Pain and Dental Emergencies

Many dental problems don’t cause pain until they’ve progressed significantly. By the time a toothache appears, treatment is often more complex and urgent. Regular checkups help you avoid sudden dental emergencies that can disrupt your schedule, cause significant discomfort, and require immediate and often expensive care.
In short: fewer surprises, less pain, and more peace of mind.
Convenience That Fits Your Life
A planned, twice-yearly dental visit is far more convenient than scrambling to find emergency care for a cracked tooth, abscess, or severe infection. Preventive appointments are predictable, efficient, and typically completed in under an hour making them easy to fit into even the busiest schedules.
Protecting Your Overall Health
Oral health is closely linked to overall health. Gum disease has been associated with conditions such as heart disease, diabetes complications, and inflammation throughout the body. Regular dental checkups help reduce these risks by keeping your mouth healthy and identifying concerns early.
A Smart Long-Term Investment
Think of dental checkups as an investment rather than an expense. Consistent preventive care:
- Extends the life of your natural teeth
- Reduces the need for invasive procedures
- Lowers long-term dental costs
- Improves comfort, confidence, and quality of life
The Bottom Line
Skipping dental checkups may seem like a way to save time or money, but in reality, it often leads to higher costs, more discomfort, and greater inconvenience later. Regular six-month dental visits are one of the easiest ways to stay ahead of problems, protect your smile, and avoid unnecessary pain and expense.
We encourage you to book a convenient six-month cleaning with our skilled hygienists, Lisa or Mimi, followed by a comprehensive check-up with Dr. Kurman or Dr. Yeager to ensure your oral health stays on track.
A healthy smile truly starts with prevention.

